合浦论坛

  • 0779-7290779
  • 合浦人的网上家园 · 合浦门户网站
搜索

猜你喜欢
查看: 7923|回复: 13

[焦点话题] 小伙胸闷、咳嗽,肺部还被钻出一个个 " 隧道 "!元凶竟是……

[复制链接]

35

主题

333

回帖

867

积分

富农

Rank: 9Rank: 9Rank: 9

积分
867
发表于 2020-4-28 11:26 | 显示全部楼层 |阅读模式 来自: 中国广西南宁
最近,江苏宿迁市人民医院感染科
收治了一例特殊的患者,
这个小伙从 5 个月前开始,
出现胸闷、咳嗽、咳痰等症状。
记者了解到,医生在反复诊断后发现,患者的肺部长满了细小的肺吸虫,恐怖的是,这些小虫一旦进入人体,就会在人体的器官中到处乱钻、" 打洞”。
微信图片_20200428111305.jpg
医院专家为患者检查↑↑↑
       " 今年 2 月份,在上海某医院就诊时,被诊断为‘肺结核’‘结核性胸膜炎’。" 患者小飞(化名)介绍,由于他当时出现的病症的确与 " 肺结核 " 的反应很相似,所以并没有多想,但是在经过抗痨治疗后,病情未见好转。后来,小飞到宿迁市人民医院的感染科就诊。" 入院后,追问患者病史,得知该患者曾有生食蛇胆史,平时喜欢吃田螺、河蚌、小龙虾、螃蟹等水产品。"
医生介绍,肺吸虫病是由并殖吸虫感染引起的一种寄生虫病,主要因生食或半生食含并殖吸虫囊蚴的溪蟹、蜊蛄(大头虾)、螃蟹、小龙虾等而感染。
       此外,据医院介绍,肺吸虫病具有很强的地方性,宿迁地区既往从无肺吸虫病患。但结合该患者的临床症状及辅助检查,经呼吸与危重症科主任施斌及感染科多位专家会诊,结合肺吸虫 IgG 抗体检测,提示检测结果为阳性,最终诊断为肺吸虫病。随后,宿迁市疾控中心确定,小飞为宿迁地区首例肺吸虫病。
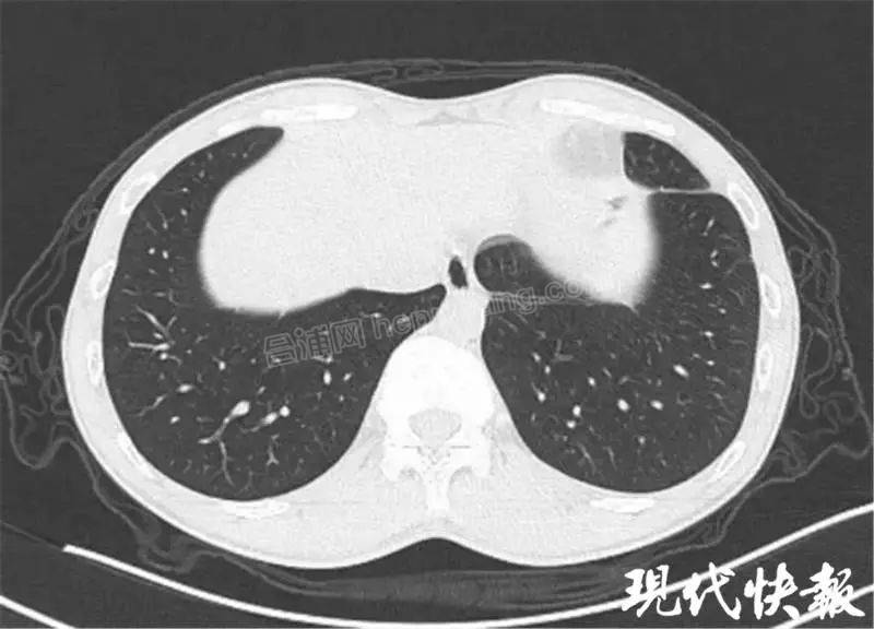
微信图片_20200428111310.jpg
肺吸虫患者典型的 " 隧道征 ”↑↑↑
       记者了解到,肺吸虫病的致病作用主要是由童虫、成虫在组织器官中移行、窜行、定居及分泌物、代谢产物所引起,可累及肝脏、肺、胸、腔、眼、脑、皮下组织等多个组织、器官。换句话说,这些小虫一旦进入人体后,就会在组织器官中到处乱钻,并产生分泌物、代谢产物,时间长了以后,甚至能在肺部钻出一个个 " 隧道 ",形成肺纤维化。再加上这种疾病的临床表现复杂多样,缺乏特异性,极易造成误诊,更是增加了诊断的难度。
       医生提醒,当人们吃进生的或未熟的螃蟹、蝲蛄、溪蟹、小龙虾后,肺吸虫幼虫会在肺内发育成熟、产卵。肺吸虫囊蚴在 70 ℃的水中煮 3 分钟或在 100 ℃的水中煮 1 分钟即可被杀死,因此,建议将淡水蟹或蝲蛄煮熟煮透后再吃。
来源|现代快报+/ZAKER南京、广州日报
回复

使用道具 举报

29

主题

297

回帖

909

积分

富农

Rank: 9Rank: 9Rank: 9

积分
909
发表于 2020-4-28 11:39 | 显示全部楼层 来自: 中国广西北海
感觉什么东西只要是不煮熟都是不敢入口的
回复 支持 反对

使用道具 举报

1

主题

1051

回帖

2207

积分

商人

Rank: 11Rank: 11Rank: 11Rank: 11

积分
2207
发表于 2020-4-28 11:56 | 显示全部楼层 来自: 中国广西贺州
看得我鸡皮疙瘩都起来了,吃东西就不能煮熟煮透了再吃吗
回复 支持 反对

使用道具 举报

21

主题

276

回帖

682

积分

中农

Rank: 8Rank: 8

积分
682
发表于 2020-4-28 11:57 | 显示全部楼层 来自: 中国广西钦州
想起了,上次吃的5成熟的牛排
回复 支持 反对

使用道具 举报

29

主题

283

回帖

720

积分

中农

Rank: 8Rank: 8

积分
720
发表于 2020-4-28 14:15 | 显示全部楼层 来自: 中国广西防城港
太恶心了啊,以后吃要小心点了
回复 支持 反对

使用道具 举报

16

主题

1087

回帖

2399

积分

商人

Rank: 11Rank: 11Rank: 11Rank: 11

积分
2399

社区居民

发表于 2020-4-28 14:55 | 显示全部楼层 来自: 中国广西南宁
吃东西还是要煮熟,吃生食你就会发现,寄生虫无处不在!
回复 支持 反对

使用道具 举报

123

主题

990

回帖

3028

积分

商人

Rank: 11Rank: 11Rank: 11Rank: 11

积分
3028

社区居民

发表于 2020-4-28 14:56 | 显示全部楼层 来自: 中国广西北海
这位小伙子以后不要那么不忌口了!生命比较可贵,不是每次都这么好运的。
回复 支持 反对

使用道具 举报

12

主题

858

回帖

3万

积分

巡抚

Rank: 20Rank: 20Rank: 20Rank: 20Rank: 20

积分
33089
发表于 2020-4-28 15:35 来自手机 | 显示全部楼层 来自: 中国广西
不煮熟的东西不敢吃啊
回复 支持 反对

使用道具 举报

34

主题

1117

回帖

2478

积分

商人

Rank: 11Rank: 11Rank: 11Rank: 11

积分
2478
发表于 2020-4-29 10:47 | 显示全部楼层 来自: 中国广西玉林
卧槽,居然还敢生吃蛇胆
回复 支持 反对

使用道具 举报

18

主题

1222

回帖

2651

积分

商人

Rank: 11Rank: 11Rank: 11Rank: 11

积分
2651
发表于 2020-4-29 10:47 | 显示全部楼层 来自: 中国广西防城港
可怕哦
回复

使用道具 举报

您需要登录后才可以回帖 登录 | 注册

本版积分规则

返回顶部
快速回复 返回顶部 返回列表