合浦论坛

  • 0779-7290779
  • 合浦人的网上家园 · 合浦门户网站
搜索

猜你喜欢
查看: 10338|回复: 29

[众观天下] 熬夜、抽烟、夜宵一样不少,杭州一21岁男生竟突发心肌梗死

[复制链接]

29

主题

739

回帖

1750

积分

掌柜

Rank: 10Rank: 10Rank: 10

积分
1750

社区居民

发表于 2020-8-18 11:02 | 显示全部楼层 |阅读模式 来自: 中国广西北海
尖锐的“嘀呜嘀呜”鸣笛声打破了街道的宁静,一辆救护车从冷清的大街上急驰而过,一位年轻的男患者被送入杭州师范大学附属医院急诊科,抬上胸痛患者专用救护床位。

“这孩子怎么了?”

“胸痛,凌晨吃完夜宵开始的。”


病床上的小方(化名)还没搞清楚怎么回事,急诊室的医务人员已经忙活开了,“抢救2床有个胸痛的年轻小伙,脸色很难看,赶紧请心内科会诊!”。

杭师大附属医院心血管内科教学主任刘文民主任通过询问病史,结合小方的症状及检查结果,立刻想到这个患者可能是心肌梗死,而且是临床上罕见且致命的De-Winter综合征。

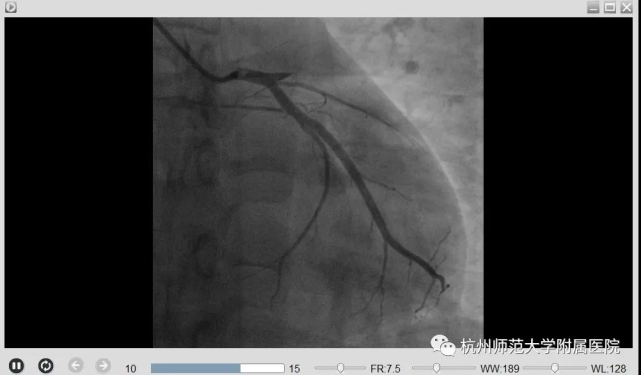
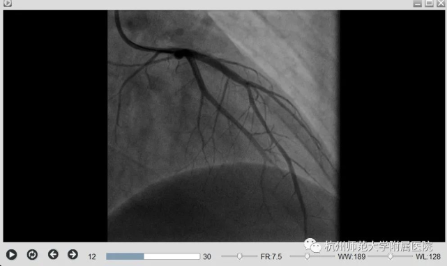
刘主任立刻启动胸痛中心绿色通道,通知患者家属后,刘主任带领胸痛团队立即将患者送至导管室,经过冠脉造影证实,患者前降支血管(为心脏收缩的主要功能血管)完全闭塞,符合De-Winter综合征的表现,立即予以开通闭塞的血管,植入支架1枚,小方心脏血管血流恢复,胸痛症状明显缓解,血压心率逐渐平稳下来。


手术前后对比图

经过及时有效的治疗,小方的病情已经有了明显好转,付新艳医师追问了小方的冠心病相关病史,并做了详细的检查。


原来,小方并没有高血压、糖尿病等基础疾病,也没有心脑血管疾病相关的家族史,平时也不怎么体检,但引起大家注意的是,他虽然年纪较轻,但已经吸烟5年,每天至少20支;从事保安职业,经常要倒夜班,同时夜宵也从没断过,饮食不规律,体重指数BMI 27.17kg/m2(正常应<24),明显偏胖。所有这些证据表明,患者的危险因素就是不良的生活习惯,而近期的连续长时间熬夜和频繁夜宵可能是本次心肌梗死的诱因。


刘主任分析,现在的许多年轻人有熬夜甚至通宵、饮食不规律、抽烟等不良生活习惯,往往仗着自己年轻,觉得没关系,“熬最深的夜,赖最久的床”,如此恶性循环,身体往往处于亚健康甚至疾病状态,部分患者已经有明显的肝功能异常、内分泌紊乱、发量减少,甚至精神心理障碍。通过这个病例,刘主任对所有的年轻朋友提出警示,你们当中已经有人心梗了,21岁的心肌梗死!现在就要调整作息,规律饮食,不要再以为自己还年轻,觉得我还可以,如果不重视健康生活习惯的养成,也许心梗就离你不远了。

专家提醒

急性心肌梗死疼痛的部位常在心前区和或胸骨后,但也有20%左右的病人症状不典型。通常表现为非典型部位疼痛,如左肩、左腋下、左上臂,还有的表现为上腹部疼痛,颈部、咽喉部疼痛,甚至下颌痛、牙痛。有些病人如糖尿病、脑梗死后的或心功能较差的老年人易出现“无痛性心梗”,只是感到轻微的胸闷,如上腹部堵闷、不适、恶心、憋气等症状,容易漏诊。

所以,刘主任提醒大家,有高危心血管风险的朋友,如肥胖、吸烟、熬夜、酗酒、有心脑血管家族史的,建议调整作息,改变不良的生活习惯,如有胸闷胸痛等不适的,一定要尽快就近就医,以免耽误病情。


来源:杭师大附属医院




回复

使用道具 举报

0

主题

598

回帖

1294

积分

掌柜

Rank: 10Rank: 10Rank: 10

积分
1294
发表于 2020-8-18 11:08 | 显示全部楼层 来自: 中国广西南宁
身体是革命的本钱
回复 支持 反对

使用道具 举报

24

主题

627

回帖

1450

积分

掌柜

Rank: 10Rank: 10Rank: 10

积分
1450
发表于 2020-8-18 11:21 | 显示全部楼层 来自: 中国广西北海
这么一对比,我感觉我和他的距离并不远,熬夜太多了,饮食节假日就不规律
回复 支持 反对

使用道具 举报

30

主题

613

回帖

1406

积分

掌柜

Rank: 10Rank: 10Rank: 10

积分
1406
发表于 2020-8-18 11:22 | 显示全部楼层 来自: 中国广西来宾
大家注意好作息和饮食,不要觉得自己年轻就放纵自己
回复 支持 反对

使用道具 举报

42

主题

1044

回帖

2571

积分

商人

Rank: 11Rank: 11Rank: 11Rank: 11

积分
2571

社区居民

发表于 2020-8-18 11:24 | 显示全部楼层 来自: 中国广西北海
以后不敢熬夜了,作息规律点才行
回复 支持 反对

使用道具 举报

18

主题

1222

回帖

2651

积分

商人

Rank: 11Rank: 11Rank: 11Rank: 11

积分
2651
发表于 2020-8-18 11:33 | 显示全部楼层 来自: 中国广西防城港
我昨晚才刚熬到两点,怕了怕了
回复 支持 反对

使用道具 举报

42

主题

1006

回帖

2275

积分

商人

Rank: 11Rank: 11Rank: 11Rank: 11

积分
2275
发表于 2020-8-18 11:34 | 显示全部楼层 来自: 中国广西南宁
不敢熬夜了,头上头发都快掉完了
回复 支持 反对

使用道具 举报

3

主题

517

回帖

1131

积分

掌柜

Rank: 10Rank: 10Rank: 10

积分
1131
发表于 2020-8-18 14:11 | 显示全部楼层 来自: 中国广西南宁
不敢熬夜了  明显感觉到自己不适
回复 支持 反对

使用道具 举报

4

主题

504

回帖

1108

积分

掌柜

Rank: 10Rank: 10Rank: 10

积分
1108
发表于 2020-8-18 14:11 | 显示全部楼层 来自: 中国广西钦州
就算睡不着也要闭眼休息
回复 支持 反对

使用道具 举报

1

主题

507

回帖

1106

积分

掌柜

Rank: 10Rank: 10Rank: 10

积分
1106
发表于 2020-8-18 14:11 | 显示全部楼层 来自: 中国广西柳州
安全第一啊
回复 支持 反对

使用道具 举报

您需要登录后才可以回帖 登录 | 注册

本版积分规则

返回顶部
快速回复 返回顶部 返回列表